Str. Nicolae Milescu Spataru 13/5 Пн-Пт 9:00 - 19:00
Записаться на прием +373 610 88 816
Str. Nicolae Milescu Spataru 13/5
Пн-Пт 9:00 - 19:00

Комфортное лечение зубов без боли

Единственная клиника в Кишинёве с томографом последнего поколения, дневным стационаром и полным штатом специалистов всех профилей.
Комфортное лечение зубов без боли
Более 5 000 довольных пациентов с 2020 года
100% успех лечения в эндодонтии за год.
Наши врачи проходят стажировки в Европе
Знакомы эти страхи?
Мы знаем решение:
«Боюсь боли, дискомфорта»
Индивидуальная анестезия, седация «во сне», общий наркоз
«Не доверяю врачам»
Объясняем каждый этап простым языком. Фото-протокол «до/после».
«Лечат “по-старинке”»
Новейшее оснащение, качественные материалы; служат долгие годы.
«Бегать по клиникам»
Все специалисты в одной команде внутри клиники.
«Не уверен в успехе»
Мы за сохранение зубов и долгосрочный результат.
Как мы возвращаем здоровье вашим зубам?
Визит и диагностика
Шаг 1
Визит и диагностика
Встречаем вас лично — администратор проводит в кабинет, а врач детально обследует полость рта. Делаем 3D-снимок для точной диагностики и подробно объясняем план лечения.
Лечение без боли
Шаг 2
Лечение без боли
Применяем современную анестезию — вы ничего не почувствуете. Работаем качественными материалами последнего поколения. Лечение проходит комфортно и без стресса.
Забота после лечения
Шаг 3
Забота после лечения
Проверяем результат, фиксируем изменения на фото и даём персональные рекомендации по уходу. Остаёмся на связи — вы всегда можете обратиться с вопросами.
Что мы лечим:
Воспалительные заболевания и кариес
01.
Изменение цвета и эстетические дефекты
02.
Зубной налёт, камень и заболевания дёсен
03.
Отсутствие зубов / Потеря зубов
04.
Нарушения прикуса и положения зубов
05.
Нарушения развития челюстей
06.
Что мы лечим:
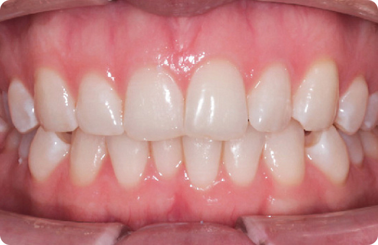
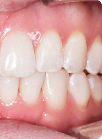
Посмотрите, как меняются улыбки и жизни наших пациентов:
Atmosfera — это больше, чем просто стоматология!
Честный и комплексный подход к лечению
01/
В других клиниках предложат варианты «попроще» или «подороже». Мы говорим честно: что нужно вашим зубам сейчас.
Забудьте про беготню по городу. Терапевт, хирург, ортопед, ортодонт, челюстно-лицевой хирург — все в одной команде.
Честный и комплексный подход к лечению
Современные технологии и комфорт
02/
Томограф Planmeca Viso G7 — новейший в городе. Пока другие работают со старыми снимками, мы видим полную 3D-картину за минуты.
Победите свой страх с помощью качественной анестезии!
Современные технологии и комфорт
Забота после лечения — не исключение, а правило
03/
Дневной стационар — редкость для частной клиники. Можете спокойно восстановиться под наблюдением медперсонала после наркоза.
Забота после лечения — не исключение, а правило
В клинике «Атмосфера» мы объединяем честность, технологии и настоящую заботу, чтобы вы чувствовали себя уверенно на каждом этапе лечения.
i
Отзывы людей, которые уже доверились нам::
Посмотреть отзывы:
Author
Ольга Касапчук
рекомендует
Atmosfera - Clinică Stomatologică.
16 июль
Рекомендую! Профессиональный подход, новейшие методы лечения! Заботливы и отзывчивы!
Author
Olga Bors
2 recenzii
acum 1 săptămână
NOU
Sîntem pacienți de mult timp aici 🙂 Recomand- pentru atitudine, implicare, profesionalism, raportul preț/ calitate/ serviciu este la cel mai înalt nivel!!! Echipa este de nota 10+ iar d- nei medic Alina Mighic- Mulțumesc !!!!!

Запишитесь на приём и убедитесь:

Лечить зубы можно без страха!

Str. Nicolae Milescu Spătaru 13/5, Chișinău
+373 610 88 816

    Нажимая на кнопку, я соглашаюсь на обработку персональных данных